“I found Dr. Nicole Naylor many years ago when I needed work done due to an infection which led to a root canal. I chose her from the internet because of her smile and the kindness behind her eyes. Little did I know then just how important Dr. Naylor would become to me.
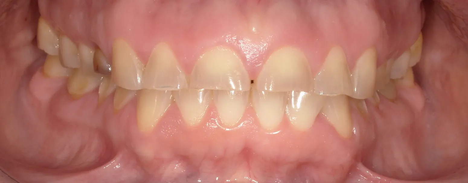
When I made the decision to seek much needed dental work 11 years later, the only person I thought of, the only dentist I knew I could trust, was Dr. Naylor. I had not paid a visit to a dentist since I had seen her so many years prior. It was the scariest, most terrifying decision, but one I was ready for mentally and emotionally. It was time. I was looking forward to crossing off an item that had been on my bucket list and only in my dreams my entire adult life.
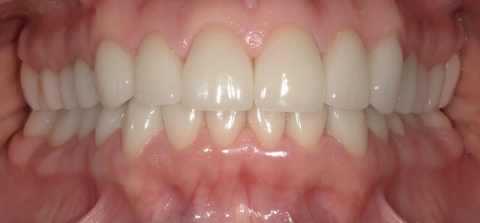
Dr. Naylor is a miracle worker. She’s incredibly brilliant, her smile still radiates, and she is every bit the kind and beautiful soul I remembered. After discussing treatment plans and expectations with full transparency, I committed to the process and never once looked back because I knew she had my back. I trusted her implicitly. For almost 1 ½ years, I was under her care, doing the work I needed to do. It was a humbling experience, but one I am grateful for every single day. She took such excellent care of me.
I can’t thank Dr. Naylor without thanking Erin. Erin is amazing. She was by my side, assisting Dr. Naylor every single step of the way. It’s not every day you can refer to your dental assistant as a friend, but that’s exactly what she became to me. She’s kind, funny and adorable. I am truly grateful for Erin.
I can’t stress enough how wonderful Westlake Dentistry is. The business is run like a well-oiled machine. The level of attention and care they provide is top notch. Any apprehension goes out the door the second you sit down in the chair. Both Brooke’s, Sarah, Lauri, Amber, Brianna, and the entire establishment is a breath of fresh air. It’s not every day you look forward to going to the dentist, but that’s exactly what I found happening to me.
Today, I have my confidence back and smile back and it’s all because of Dr. Naylor, Erin, and the best team ever at Westlake Dentistry. From the bottom of my heart, thank you!”
Office Hours
MON9:00 am - 5:00 pm
TUE - WED7:00 am - 3:00 pm
THU7:00 am - 2:00 pm
FRI - SUNClosed
